Ver uma criança reclamando de dor no quadril ou dor no joelho pode gerar preocupação em qualquer família.
Essas queixas são relativamente comuns na infância e podem ter diferentes causas.
Algumas são simples e passageiras, como a sinovite transitória do quadril, enquanto outras exigem atenção especial, como a Doença de Perthes.

O que muitos pais não sabem é que problemas no quadril podem causar dor refletida no joelho, confundindo o diagnóstico.
Por isso, entender os principais motivos dessas dores, os sinais de alerta e a importância de procurar um ortopedista pediátrico faz toda a diferença para garantir a saúde e o desenvolvimento da criança.
Neste artigo, você vai saber:
- Quais são as principais causas de dor no quadril e joelho em crianças.
- Quando a dor pode ser sinal de sinovite ou da Doença de Perthes.
- Como o ortopedista infantil faz o diagnóstico e quais são os tratamentos mais indicados.
Por que escolher o Dr. Guaracy Carvalho Filho como ortopedista dos seus filhos?
Cuidar da saúde ortopédica de crianças e adolescentes exige muito mais do que conhecimento técnico.
É necessário ter experiência, sensibilidade e um olhar atento ao desenvolvimento de cada fase da infância e adolescência.
O Dr. Guaracy Carvalho Filho reúne todos esses atributos.
Sua trajetória é marcada por mais de 38 anos dedicados à Ortopedia Pediátrica e Geral, acompanhando milhares de famílias com uma abordagem personalizada e atenta às necessidades individuais de cada paciente.
Hoje, seu consultório em São José do Rio Preto – SP é reconhecido como referência no diagnóstico e tratamento ortopédico infantil.
Formação sólida e trajetória de excelência
A base da carreira do Dr. Guaracy é construída em instituições de grande prestígio na área médica.
Sua formação inclui:
- Graduação em Medicina pela Faculdade de Medicina da USP.
- Residência Médica em Ortopedia e Traumatologia no Hospital das Clínicas da Faculdade de Medicina de Ribeirão Preto (FMRP-USP), um dos maiores centros de formação médica do país.
- Mestrado e Doutorado em Ortopedia e Traumatologia pela USP, com foco em diagnóstico e tratamento de problemas ortopédicos complexos.
- Especialização internacional na Itália, com o Método Ilizarov, técnica voltada para correção de deformidades ósseas, tratamento de fraturas complexas e infecções ósseas.
Essa base sólida se reflete diretamente na qualidade dos atendimentos, com:
- Diagnósticos precisos.
- Tratamentos eficazes e seguros.
- Orientações claras e personalizadas para as famílias.

Reconhecimento nacional e contribuição para a formação médica
Além da prática clínica, o Dr. Guaracy tem uma participação ativa na formação de novos médicos.
Sua atuação inclui:
- Professor Adjunto da Faculdade de Medicina de São José do Rio Preto (FAMERP), contribuindo diretamente para o ensino da Ortopedia Pediátrica.
- Examinador Oficial de Residentes há mais de 23 anos, avaliando médicos de todo o Brasil que buscam o título de especialista em Ortopedia e Traumatologia.
- Membro Fundador da Sociedade Brasileira de Ortopedia Pediátrica, entidade de grande relevância na área.
- Membro Titular da Sociedade Brasileira de Ortopedia e Traumatologia (SBOT), com reconhecimento do MEC e da Associação Médica Brasileira (AMB).
Essa combinação de prática clínica, ensino e participação em entidades médicas garante que seus pacientes tenham acesso a um acompanhamento sempre atualizado, seguro e baseado nas melhores práticas da medicina ortopédica.
Atendimento humano e visão global do desenvolvimento infantil
Por trás dos títulos e da experiência acadêmica, está um médico que valoriza a escuta, o cuidado individualizado e o respeito às particularidades de cada fase da infância.
O Dr. Guaracy alia sua experiência clínica a uma abordagem cuidadosa, com atenção a:
- O ritmo de desenvolvimento de cada criança.
- As características físicas e biomecânicas individuais.
- As necessidades específicas de cada fase do crescimento.
Além disso, sua experiência como Perito Médico há mais de 10 anos amplia sua visão clínica, permitindo:
- Elaboração de laudos técnicos especializados.
- Avaliações ortopédicas detalhadas para casos complexos.
- Análises seguras e completas para cada paciente.
Se você procura um ortopedista pediátrico com formação sólida, reconhecimento nacional e uma abordagem humana e responsável, o Dr. Guaracy Carvalho Filho é uma escolha que une:
- Confiança.
- Ciência.
- Dedicação ao desenvolvimento saudável das crianças e adolescentes.
Criança com dor no quadril ou no joelho: quando se preocupar?
Dores nas pernas são comuns durante o crescimento das crianças.
Mas quando a dor acontece no quadril ou no joelho, é importante prestar atenção em alguns sinais.
Nem toda dor indica um problema sério. No entanto, existem situações que exigem avaliação rápida com o ortopedista pediátrico.

Sinais que indicam atenção imediata
Procure um médico se a criança apresentar:
- Dor intensa e que não melhora com o repouso.
- Dificuldade para apoiar a perna ou mancar ao caminhar.
- Inchaço, calor ou vermelhidão na região dolorida.
- Febre associada à dor.
- Choro frequente ao tentar movimentar a perna.
- Limitação nos movimentos do quadril ou joelho.
- Dor que dura mais de dois dias sem melhora.
Quando a dor pode ser algo passageiro
Se a criança:
- Não tem febre.
- Consegue brincar e caminhar com pequenas limitações.
- Melhora com repouso e cuidados simples.
É possível que seja uma dor relacionada ao crescimento ou um quadro leve, como uma sinovite transitória.
Mesmo assim, se houver dúvida, o melhor é consultar um ortopedista pediátrico para uma avaliação segura.
O diagnóstico precoce é fundamental para tratar de forma correta e evitar complicações futuras.
Por que problemas no quadril podem causar dor no joelho?
Muitas vezes, a criança reclama de dor no joelho, mas a verdadeira origem do problema está no quadril.
Isso acontece por causa da forma como os nervos e músculos do corpo estão conectados.
Relação entre quadril e joelho
O quadril e o joelho compartilham algumas estruturas nervosas.
Quando existe um problema no quadril, o cérebro pode interpretar a dor como se ela estivesse no joelho. Esse fenômeno é chamado de dor referida.
Além disso, o quadril é uma articulação que influencia diretamente a postura e a marcha.
Se o quadril está inflamado, com lesão ou com alguma alteração estrutural, a criança pode:
- Alterar a forma de andar para evitar a dor.
- Sobrecarregar a musculatura e as articulações do joelho.
- Desenvolver compensações posturais, gerando desconforto em outras partes da perna.

Como o ortopedista diferencia a origem da dor
Durante a consulta, o ortopedista pediátrico realiza um exame físico detalhado.
Ele avalia:
- A amplitude de movimento do quadril e do joelho.
- A resposta da criança ao toque e aos movimentos passivos.
- Se há limitação ou dor ao abrir, fechar ou girar a perna.
- A forma como a criança caminha e apoia o peso nas pernas.
Se houver dúvida, o médico pode solicitar exames de imagem, como radiografias ou ultrassonografias, para avaliar melhor o quadril.
Por que é importante investigar o quadril mesmo com dor no joelho?
Ignorar a possibilidade de um problema no quadril pode atrasar o diagnóstico e o tratamento correto.
Condicionar o tratamento apenas ao joelho, quando a origem real é o quadril, pode piorar o quadro clínico.
Por isso, qualquer dor persistente no joelho, especialmente sem causa traumática evidente, deve incluir a avaliação ortopédica do quadril.
O que é a sinovite transitória do quadril?
A sinovite transitória do quadril é uma das causas mais comuns de dor no quadril em crianças entre 3 e 8 anos de idade.
Ela também é conhecida como sinovite do quadril ou sinovite transitória da infância.
Trata-se de uma inflamação temporária da membrana sinovial, que é a camada interna da articulação do quadril. Essa membrana é responsável por produzir o líquido que lubrifica a articulação.
Quando ocorre a sinovite, esse líquido aumenta de volume, causando dor e limitação de movimento.

O que provoca a sinovite transitória?
Em muitos casos, a sinovite aparece após um episódio de infecção viral, como gripe, resfriado ou infecção de garganta.
Ainda não se sabe exatamente por que isso acontece, mas acredita-se que o sistema imunológico da criança reage de forma exagerada, provocando a inflamação na articulação.
A sinovite também pode surgir sem nenhuma infecção prévia, de forma espontânea.
Quem pode ter?
A condição é mais comum em:
- Crianças entre 3 e 8 anos.
- Meninos, com maior frequência do que meninas.
- Crianças que tiveram uma infecção recente.
Por ser uma condição transitória, ela tende a melhorar sozinha em alguns dias ou semanas, mas o acompanhamento médico é essencial para garantir que realmente se trata de sinovite e não de outra doença mais grave.
Por que é importante o diagnóstico correto?
Os sintomas da sinovite transitória podem ser parecidos com os de outras doenças mais sérias do quadril, como a Doença de Perthes ou infecções mais graves, como a artrite séptica.
Por isso, o ortopedista pediátrico costuma solicitar exames como ultrassonografia de quadril e, em alguns casos, exames de sangue, para excluir outras causas.
Com o diagnóstico correto, é possível iniciar o acompanhamento e garantir uma recuperação segura.
Principais sintomas da sinovite em crianças
A sinovite transitória do quadril costuma surgir de forma repentina.
Em muitos casos, os pais percebem que a criança acorda pela manhã reclamando de dor na virilha, no quadril ou no joelho.
Essa dor pode variar de leve a moderada, mas costuma limitar os movimentos.

Sintomas mais comuns
Os principais sinais da sinovite são:
- Dor na região do quadril, que pode se estender até a coxa ou o joelho.
- Mancar ao caminhar ou recusar colocar peso na perna afetada.
- Limitação para abrir ou girar a perna.
- Dificuldade para sentar ou levantar.
- Choro ao tentar movimentar a perna.
Em alguns casos, a criança também pode apresentar febre baixa, mas isso não é regra.
Como a dor se manifesta
A dor da sinovite geralmente:
- Piora com os movimentos.
- Melhora com o repouso.
- Pode ser mais intensa após longos períodos em pé ou brincando.
O desconforto costuma durar de alguns dias a, no máximo, duas semanas, com melhora gradual.
Diferença em relação a outras doenças
Ao contrário de infecções mais graves, como a artrite séptica, a criança com sinovite geralmente não apresenta febre alta, vermelhidão intensa ou sinais de infecção generalizada.
Mesmo assim, apenas o ortopedista pediátrico pode fazer a diferenciação correta, por meio de exame físico e, se necessário, exames de imagem.
Quanto tempo dura a sinovite e como é o tratamento?
A sinovite transitória do quadril costuma ter uma evolução rápida e benigna.
Na maioria das crianças, os sintomas desaparecem completamente entre 7 e 14 dias após o início da dor.
O acompanhamento com o ortopedista pediátrico é essencial para garantir que a recuperação siga o esperado.

Tempo médio de duração
Na maioria dos casos:
- A dor começa a reduzir após os primeiros 3 a 5 dias.
- A marcha volta ao normal em até duas semanas.
- Os movimentos do quadril são totalmente recuperados ao final desse período.
Casos que duram mais de três semanas merecem uma nova avaliação, pois pode haver outra causa envolvida.
Tratamento indicado
O tratamento da sinovite transitória geralmente é simples e inclui:
- Repouso relativo: a criança deve evitar atividades que causem dor, mas não precisa ficar totalmente imóvel.
- Cuidados com a marcha: se estiver mancando muito, o uso temporário de muletas pode ser orientado pelo médico.
- Controle da dor: com uso de medidas físicas, como compressas quentes ou frias, conforme orientação médica.
- Retorno gradual às atividades: assim que a dor diminuir.
Não é comum a necessidade de medicamentos mais fortes ou de internação hospitalar.
Importância do acompanhamento
Mesmo sendo uma condição benigna, o acompanhamento com o ortopedista é importante para:
- Confirmar o diagnóstico.
- Monitorar a evolução dos sintomas.
- Garantir que não se trate de outra condição mais grave, como a Doença de Perthes ou uma infecção articular.
Se os sintomas não melhorarem no tempo esperado, o médico pode solicitar novos exames para reavaliar o quadro.
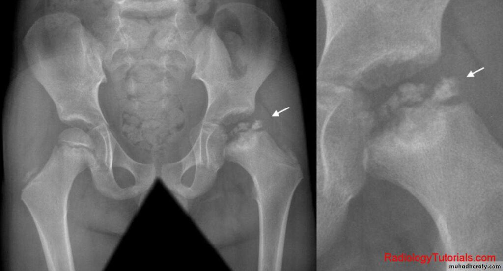
O que é a Doença de Perthes e como ela afeta o quadril infantil?
A Doença de Perthes, também chamada de Doença de Legg-Calvé-Perthes, é uma condição ortopédica que afeta o quadril de crianças.
Ela acontece quando o fluxo sanguíneo para a cabeça do fêmur diminui ou é interrompido temporariamente.
Isso faz com que o osso da cabeça do fêmur perca nutrientes, fique mais frágil e comece a se deformar com o tempo.

Quem pode ter a Doença de Perthes?
A condição é mais comum em:
- Crianças entre 4 e 10 anos de idade.
- Meninos, com maior frequência do que meninas.
- Crianças ativas e com histórico de crescimento normal até o surgimento dos sintomas.
Não há uma causa exata, mas acredita-se que fatores genéticos e circulatórios estejam envolvidos.
Como a Doença de Perthes afeta o quadril?
Com a diminuição do fluxo sanguíneo, a cabeça do fêmur começa a perder a sua forma arredondada.
Essa deformidade pode prejudicar o encaixe do fêmur na articulação do quadril, causando:
- Dor no quadril ou na virilha.
- Dor irradiada para a coxa ou joelho.
- Mancar ao caminhar.
- Limitação de movimentos, principalmente ao abrir ou girar a perna.
Em fases mais avançadas, pode haver perda de mobilidade e alteração no formato da articulação.
Por que o diagnóstico precoce é importante?
Quando a Doença de Perthes é identificada nos estágios iniciais, o ortopedista pode adotar medidas para proteger a articulação e evitar deformações mais graves.
O acompanhamento frequente permite:
- Monitorar a revascularização da cabeça do fêmur.
- Indicar tratamentos conservadores, como fisioterapia ou uso de órteses.
- Em alguns casos, planejar intervenções cirúrgicas para melhorar o posicionamento da articulação.
Quanto mais cedo o diagnóstico for feito, melhores as chances de preservar o formato e a função do quadril na fase adulta.
Sintomas mais comuns da Doença de Perthes em crianças
Os sintomas da Doença de Perthes nem sempre aparecem de forma intensa logo no início.
Muitas vezes, os pais percebem pequenas alterações na marcha da criança, que vão se agravando com o tempo.
Reconhecer esses sinais precocemente é fundamental para garantir um diagnóstico rápido e um tratamento eficaz.

Principais sintomas observados
Os sinais mais comuns incluem:
- Mancar ao caminhar, mesmo sem queixas de dor intensa.
- Dor no quadril, na virilha ou na parte superior da coxa.
- Dor que irradia para o joelho, o que pode confundir o diagnóstico.
- Limitação para abrir ou girar a perna afetada.
- Rigidez matinal, com maior dificuldade de movimentar a perna ao acordar.
- Fadiga nas pernas, com cansaço rápido durante brincadeiras ou caminhadas mais longas.
Evolução dos sintomas
No início, a dor pode ser leve e intermitente. A criança pode sentir desconforto apenas após atividades físicas.
Com o passar do tempo, sem tratamento, os sintomas podem piorar e causar:
- Mancar mais evidente.
- Perda de mobilidade no quadril.
- Desalinhamento da articulação.
Por isso, ao perceber qualquer alteração na marcha ou dor persistente, é fundamental buscar avaliação com um ortopedista pediátrico.
Por que o joelho também pode doer?
Assim como na sinovite transitória, a Doença de Perthes pode provocar dor referida no joelho.
Isso acontece porque os nervos que levam a informação da dor ao cérebro passam pelo quadril e pelo joelho, confundindo a localização do problema.
Um diagnóstico precoce aumenta as chances de preservar o formato e o funcionamento normal da articulação, evitando limitações futuras.
Como o ortopedista infantil faz o diagnóstico da dor no quadril e joelho?
O diagnóstico correto da dor no quadril ou joelho em crianças exige uma avaliação cuidadosa.
O ortopedista pediátrico utiliza diferentes etapas para entender a causa exata da dor.
Avaliação clínica detalhada
O primeiro passo é uma conversa com os pais e a criança para entender:
- Quando a dor começou.
- Como ela se manifesta ao longo do dia.
- Se há histórico de quedas, infecções recentes ou outros sintomas.
Em seguida, o médico faz um exame físico completo, avaliando:
- A forma como a criança anda (marcha).
- O alinhamento das pernas.
- A movimentação do quadril e joelho.
- Se há dor ao toque ou ao realizar determinados movimentos.
- A presença de inchaço, rigidez ou limitação de movimento.
Exames de imagem
Se houver suspeita de alterações mais complexas, o ortopedista pode solicitar exames, como:
- Ultrassonografia de quadril: muito útil para identificar sinovite transitória ou excesso de líquido na articulação.
- Radiografia: indicada para avaliar a estrutura óssea e diagnosticar doenças como a Doença de Perthes.
- Ressonância magnética: utilizada em casos específicos para observar detalhes das articulações, músculos e cartilagens.

Exames laboratoriais
Quando existe suspeita de infecção ou inflamação mais grave, o médico pode solicitar:
- Exames de sangue, como hemograma, PCR e VHS, para avaliar sinais inflamatórios ou infecciosos.
Diagnóstico preciso
A combinação entre a análise clínica, os exames físicos e, quando necessário, os exames de imagem e laboratoriais, permite ao ortopedista pediátrico:
- Confirmar o diagnóstico.
- Excluir causas mais graves.
- Indicar o tratamento mais seguro e eficaz para cada situação.
O objetivo é garantir que a criança recupere seus movimentos de forma rápida e segura, evitando complicações futuras.
Quais exames podem ser solicitados para investigar a causa da dor?
O ortopedista pediátrico nem sempre precisa de exames para fazer o diagnóstico da dor no quadril ou no joelho.
Muitas vezes, a avaliação clínica já é suficiente.
Mas em casos de dúvida ou quando há necessidade de confirmar a suspeita, alguns exames de imagem e laboratoriais podem ser solicitados.
Exames de imagem mais utilizados
Os exames de imagem ajudam a visualizar ossos, articulações e tecidos ao redor.
Os mais comuns são:
- Ultrassonografia de quadril:
Muito usada em crianças pequenas.
Serve para detectar acúmulo de líquido dentro da articulação, como acontece na sinovite transitória.
- Radiografia (Raio-X):
Importante para avaliar a estrutura óssea. Ajuda a identificar doenças como a Doença de Perthes e outras alterações ortopédicas.
- Ressonância magnética:
Indicado quando há suspeita de problemas mais complexos nas articulações, cartilagens ou ossos que não aparecem nas radiografias.
- Tomografia computadorizada:
Menos comum em crianças, mas pode ser usada em casos específicos, principalmente para avaliar detalhes ósseos.

Exames laboratoriais
Se o ortopedista suspeitar de infecção ou inflamação mais grave, pode pedir:
- Hemograma completo:
Avalia sinais de infecção no corpo. - PCR e VHS:
Indicadores de inflamação ou infecção ativa.
Esses exames ajudam a diferenciar a sinovite transitória de outras condições mais sérias, como a artrite séptica.
Exame físico é sempre o primeiro passo
Mesmo com os avanços nos exames de imagem, a observação clínica continua sendo fundamental.
O ortopedista decide quais exames são realmente necessários para cada caso, evitando exames desnecessários e garantindo um diagnóstico seguro e evitando possível progresso maligno.
Importância de procurar um ortopedista pediátrico ao primeiro sinal de dor persistente
Muitas dores nas pernas, no quadril ou no joelho podem parecer simples no início.
Mas quando a dor é persistente, surge de forma súbita ou vem acompanhada de outros sintomas, é fundamental buscar a avaliação de um ortopedista pediátrico.
Dor persistente ou recorrente pode ter significado importante, podendo ser indicativo de tumores e até leucemia.

Diagnóstico precoce faz a diferença
O diagnóstico correto, feito logo nos primeiros sinais, pode:
- Evitar o agravamento de doenças ortopédicas.
- Reduzir o tempo de tratamento.
- Prevenir deformidades ósseas.
- Garantir que a criança volte a andar, correr e brincar sem limitações.
Quanto mais cedo a causa da dor for identificada, maior a chance de tratar de forma simples e eficaz.
Condições que exigem atenção imediata
Dor persistente no quadril ou no joelho pode ser sinal de:
- Sinovite transitória.
- Doença de Perthes.
- Infecções articulares.
- Alterações no desenvolvimento ósseo.
Em alguns casos, o tempo de espera entre os primeiros sintomas e o início do tratamento pode influenciar diretamente no resultado final.
Especialização faz a diferença
O ortopedista pediátrico é o médico mais indicado para avaliar e tratar esse tipo de situação.
Ele conhece as particularidades do crescimento infantil e sabe diferenciar o que é parte do desenvolvimento normal e o que exige intervenção.
Além disso, ele acompanha o tratamento de forma segura, garantindo a recuperação completa da criança.
Ao perceber qualquer alteração na forma de andar ou uma dor que não melhora, não espere para buscar ajuda médica.
Cuidar da saúde ortopédica na infância é investir na qualidade de vida e no futuro da criança.
A dor no quadril ou no joelho em crianças pode ter diferentes causas.
Condições como a sinovite transitória e a Doença de Perthes são exemplos de problemas que precisam de atenção e acompanhamento especializado.
Mesmo quando os sintomas parecem leves, é importante não ignorar alterações na marcha, queixas de dor persistente ou dificuldades para movimentar as pernas.
O diagnóstico precoce e o tratamento adequado com um ortopedista pediátrico aumentam as chances de recuperação completa e reduzem o risco de complicações.
Se você percebeu que seu filho está mancando, com dor ao caminhar ou com limitação de movimentos, procure orientação médica o quanto antes.
Com o acompanhamento correto, a criança pode voltar a brincar, correr e crescer com saúde e segurança.